烟渍又黑又臭难去除?1招就能让牙齿亮洁如新!在家就能做!
烟渍又黑又臭难去除?1招就能让牙齿亮洁如新!在家就能做!
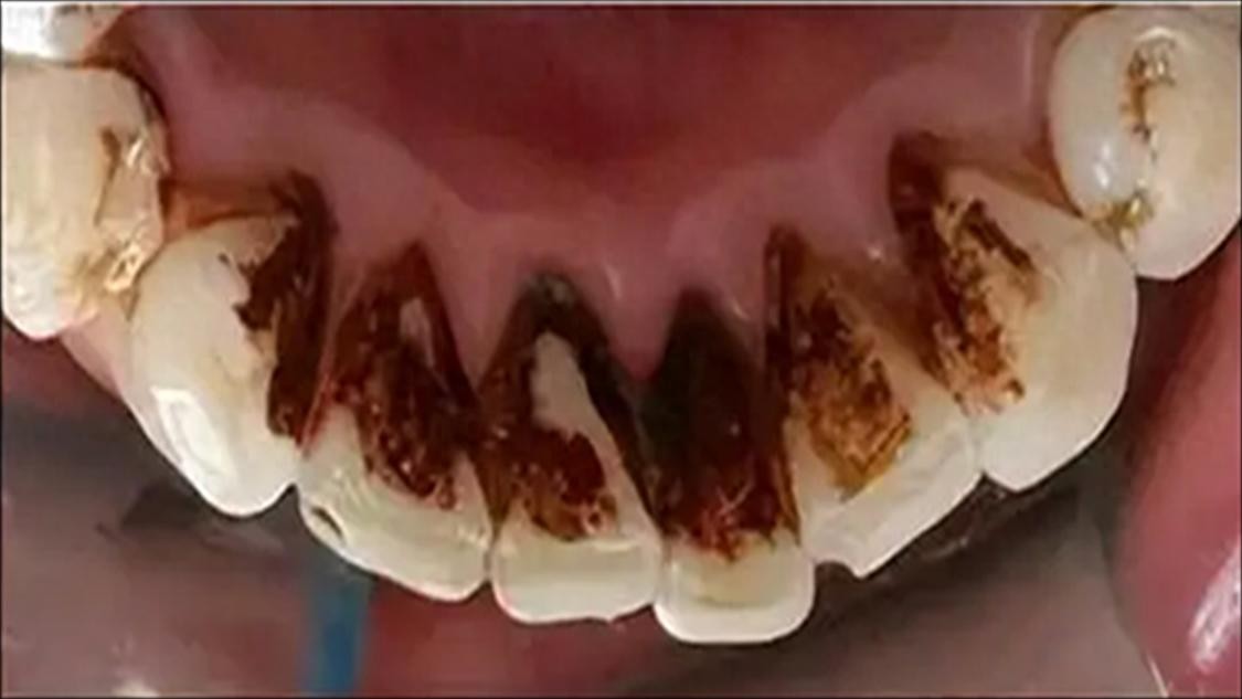
最近总是被同事夸牙齿白,说实话我特别高兴!毕竟去年我还是满嘴漆黑的烟渍、说话还一股子臭味,谁见了都会投来异样的眼光,因为这个我没少遭嫌弃。其实我用的方法特别简单,就是在家认真刷牙就可以了!这个时候你可能会想:“这怎么可能?”那下面我就给大家讲一下具体的做法,有烟渍的朋友可要看好了!

首先,我用清洁力更强的牙粉替代了牙膏,我用的是素贝集牙粉,这是朋友安利给我的,我看他的牙齿变化极大就毫无顾虑地入手了两盒。价格确实有点小贵,但是不管是使用体验还是使用效果都是能对得起这个价格的,它的粉质很细腻,入口很是顺滑,刷牙的时候还散发着绿茶薄荷的清香,刷完牙整个口腔都清清爽爽的。

我刚用了大半个月就感觉口臭缓解了很多,牙齿表面和缝隙中的黄色牙垢也被刷下去不少,原本嘴里厚重的黏腻感一下子就消失了。到一个月出头时牙面的烟渍就被清除的七七八八了,只剩牙缝处还有浅浅的印记,一直到50天用完3盒牙粉后烟渍就彻底被刷掉了,牙齿白白净净还挺有光泽,所以有烟渍的朋友赶紧冲。

其次用牙粉的同时我还换了牙刷,用的是软毛的电动牙刷,它能够更深入地清洁牙齿还不伤害牙龈。另外我感觉这种震动清洁的方式比手动刷牙更加有效,能够更彻底清除牙菌斑和污垢。

最后就是日常的口腔护理。我基本上每次吃完东西都会用牙线和漱口水来清理一下牙缝,避免食物残渣残留滋生细菌,平时也会随身携带口喷,保持以便随时随地清新口气;饮食方面也格外注意,尽量不去碰那些带有色素的饮料和食物,防止牙齿变黄。

总之,我就是靠以上这些简单又有效的小方法让我的牙齿在50天内重新恢复了白净健康。所以如果你也想像我一样,不妨试试这些小方法吧!
标签:
